口腔外科・親知らず治療
お口の中や顎、顔面およびその隣接組織に現れる様々な疾患に対応する専門的な歯科分野が「口腔外科」です。
歯科医院と聞くと、むし歯や歯周病の治療を思い浮かべる方が多いかもしれません。
しかし、お口の中には歯や歯ぐき以外にも舌、頬の粘膜、顎の骨など様々な組織が存在します。
口腔外科では親知らずの抜歯をはじめ、口内炎や顎関節症の治療、お口周りのケガの処置など幅広い領域を扱います。
「外科」という言葉に少し怖い印象や不安を感じる方もいらっしゃるでしょう。
私たちはそのような患者様のお気持ちに寄り添い、処置前の丁寧な説明、痛みを最小限に抑える工夫、そして安全な環境づくりを徹底することで安心して治療を受けていただけるよう努めています。
お口に関するお悩みは、どのようなことでもご相談ください。
このような症状はご相談ください

- 親知らずが痛む、腫れている
- 顎がカクカク鳴る、口が開きにくい
- 口内炎がなかなか治らない
- 転んで歯が欠けたり、唇を切ったりした
- 口の中にできものができた
- 歯を抜く必要があると言われた
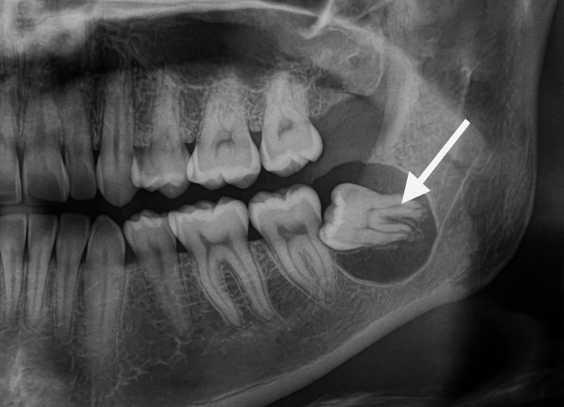
親知らずについて

親知らずとは
親知らずは永久歯の中で最も奥に、一番後に生えてくる歯です。< 一般的に10代後半から20代前半頃に生え始めますが、現代人は顎が小さくなる傾向にあるため親知らずが正常に生えるための十分なスペースがないケースが増えています。 そのため、横や斜めに傾いて生えたり骨の中に埋まったままだったりと、正常な位置に生えてこないことが多く様々なトラブルの原因となります。
親知らずが引き起こす主なトラブル
すべての親知らずを抜く必要があるわけではありません。
しかし、以下のような問題を引き起こしている、あるいは将来的に引き起こす可能性が高い場合は抜歯を検討することをお勧めします。
| トラブルの種類 | 症状・特徴 | 原因・リスク |
|---|---|---|
| 痛みや腫れ(智歯周囲炎) | 強い痛みや腫れが起こる | 歯と歯ぐきの間に深い溝ができ、汚れが溜まり細菌が繁殖 |
| むし歯 | 親知らずと手前の歯がむし歯になる | 歯ブラシが届きにくく、清掃が困難 |
| 歯並びへの影響 | 全体の歯並びが乱れる | 横向きの親知らずが手前の歯を押し続ける |
| 嚢胞(のうほう)の形成 | 膿の袋ができる(稀なケース) | 周囲の骨を溶かしたり隣の歯の根に影響 |
痛みや腫れ(智歯周囲炎)

親知らずが途中までしか生えてこないと、歯と歯ぐきの間に深い溝ができます。
そこに汚れが溜まり細菌が繁殖することで、歯ぐきに急性の炎症が起き強い痛みや腫れを引き起こします。
体調を崩して免疫力が落ちた時などに、症状が出やすい傾向があります。
むし歯

親知らずは一番奥にあるため歯ブラシが届きにくく、非常にむし歯になりやすい歯です。
問題は親知らず自身だけでなく、その手前にある健康な歯(第二大臼歯)までむし歯にしてしまうリスクが高いことです。
手前の歯は将来にわたって長く機能すべき大切な歯です。
その歯を守るために、親知らずの抜歯が必要となることがあります。
歯並びへの影響

横向きに生えてきた親知らずが手前の歯をぐっと押し続けることで、全体の歯並びが乱れてしまう原因となることがあります。
特に矯正治療を終えた後の後戻りの一因になる可能性も指摘されています。
嚢胞(のうほう)の形成

頻度は稀ですが、骨の中に埋まった親知らずの周囲に嚢胞と呼ばれる膿の袋ができてしまうことがあります。
嚢胞は大きくなると周囲の骨を溶かしたり、隣の歯の根に影響を与えたりすることがあります。
親知らずの抜歯の流れ
1. 診査・診断
まず、レントゲン撮影を行い親知らずの生え方、歯の根の形、骨の中に埋まっている深さ、神経や血管との位置関係などを正確に把握します。
2. 治療計画の説明
診査結果をもとに抜歯の必要性、具体的な手順、起こりうるリスク、抜歯後の注意点などについて詳しくご説明します。
患者様が十分に納得された上で、処置に進みます。
3. 抜歯処置
十分に麻酔を効かせ、痛みを完全に取り除いた状態で処置を開始します。
歯ぐきを切開したり歯や骨を分割したりする必要がある場合も、できる限り痛みや腫れが少なくなるよう丁寧かつ迅速な処置を心がけます。
4. 抜歯後の確認
抜歯後は傷口を縫合し、止血を確認します。
痛み止めや抗生物質などのお薬をお渡しし、ご帰宅後の注意点について再度ご説明します。
通常、約1週間後に抜糸と消毒のためにご来院いただきます。
当院の口腔外科治療における考え方

安全を最優先した診断と処置
外科処置において何よりも優先されるべきは安全性です。
私たちはレントゲンなどの検査によってお口の状態を正確に把握し、安全な処置計画を立てることを徹底しています。
麻酔も患者様の体調などを考慮しながら、十分な量を確実に使用し処置中の痛みを徹底して排除します。
高次医療機関との連携体制
親知らずの根が下顎の中を通る太い神経に近接している場合や、極めて深い位置に埋まっている場合など処置の難易度が非常に高いケースも存在します。
当院では安全を第一に考え、CT撮影による精密な診断が別途必要と判断される症例や全身的な配慮が求められる患者様につきましては、連携する地域の基幹病院や大学病院の口腔外科を速やかにご紹介する体制を整えています。
患者様にとって最善で最も安全な医療を受けていただくことが、私たちの責務であると考えています。
その他の口腔外科治療
顎関節症

「口を開けると顎が痛む」「顎がカクカクと音がする」「口が大きく開けられない」といった症状が特徴です。
生活習慣の指導、マウスピース(スプリント)を用いた治療など主に保存的な方法で症状の緩和を目指します。
口腔粘膜疾患

お口の中にできる口内炎や白や赤の斑点、できものなどを診断します。
多くは口内炎ですが、稀に初期の口腔がんなどの場合もあるため「なかなか治らない」「いつも同じ場所にできる」といった場合は自己判断せずにご相談ください。
歯のケガ(外傷)

転倒などによって歯が折れたり抜けたり、グラグラになったりした場合の処置を行います。
歯の状態によっては元に戻せる可能性もありますので、できるだけ早くご来院ください。
抜けてしまった歯は可能であれば牛乳に浸けてお持ちいただくと、歯の根の状態を良好に保てます。
抜歯後の過ごし方について

抜歯後の順調な回復のため、いくつかお守りいただきたい点があります。
注意すべき点
- 出血
抜歯当日は唾液に血が混じる程度の出血は続きます。強くうがいをすると、かさぶたが剥がれて再出血の原因となりますのでお控えください。 - お薬
処方された痛み止めや抗生物質は、指示通りに服用してください。 - お食事
麻酔が完全に覚めてから抜歯した箇所とは反対側で、柔らかいものを中心にお召し上がりください。 - 歯磨き
抜歯した箇所は避け、他の歯は通常通り磨いてお口の中を清潔に保ってください。 - 避けるべきこと
抜歯当日は飲酒、喫煙、激しい運動、長時間の入浴など血行が良くなる行為は痛みや出血の原因となるためお控えください。
お口に関する不安や気になる症状がございましたら、一人で悩まずまずは私たちにご相談ください。
専門家として皆様の健康をしっかりとサポートいたします。

077-572-5255