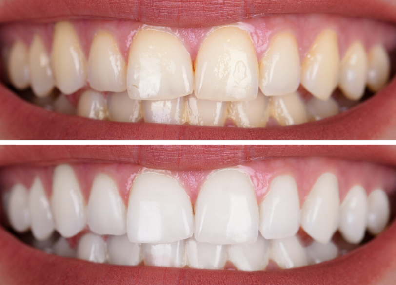
ホワイトニング
笑顔に自信が持てる、健康的で自然な白い歯へ
清潔感のある明るい口元。健康的で白く輝く歯は、その人の印象を大きく左右し、自信に満ちた笑顔を生み出します。コーヒーやお茶、食事、年齢、喫煙など様々な要因によって、私たちの歯は少しずつ色合いを変化させていきます。
ホワイトニングは、そのような歯の着色や黄ばみを歯を削ることなく、専用の薬剤を用いて内側から分解し、歯本来の持つ自然な白さへと導く処置です。
以前よりも口元のくすみが気になる方、大切なイベントを控えている方、ご自身の笑顔をもっと輝かせたいと願うすべての方へ。私たちと一緒に、理想の口元を目指しませんか。
歯の色が変化する主な原因

歯の白さが失われる原因は、一つではありません。
ご自身の歯がどの理由で変色しているかを知ることが、適切な対応への第一歩となります。
歯の表面に付着する着色(外因性の着色)
色の濃い飲食物に含まれる色素(ポリフェノールなど)が、歯の表面にある「ペリクル」という薄い膜に付着することで、歯の色が濃く見えます。

主な原因となる飲食物・嗜好品
- コーヒー、紅茶、赤ワイン、カレー、醤油、ソースなど
- タバコのヤニ(タール)
これらの着色は、日々の歯磨きだけでは完全に落とすことが難しく、時間とともに蓄積されていきます。
歯の内部からの変色(内因性の変色)
歯の構造そのものの変化によって、色が濃く見えてしまう状態です。
| 原因 | 詳細 |
|---|---|
| 加齢による変化 | 年齢を重ねると、歯の表面を覆う半透明のエナメル質が少しずつ摩耗して薄くなります。 その結果、内側にある黄色みの強い象牙質の色が透けて見えやすくなり、歯全体が黄色っぽく見えるようになります。 |
| 薬剤の影響 | 幼少期に特定の薬剤(テトラサイクリン系抗生物質など)を服用した影響で、歯の色が変色することがあります。 |
| 歯の神経の状態 | むし歯や外傷によって歯の神経が死んでしまうと、歯に栄養が行き渡らなくなり、時間とともに黒ずんで見えることがあります。 |
ホワイトニングの仕組み

歯科医院で行うホワイトニングは、歯の表面の汚れを落とす「クリーニング」とは根本的に異なります
クリーニング(PMTC)が歯の表面に付着した着色や歯石を取り除く処置であるのに対し、ホワイトニングは薬剤(過酸化水素や過酸化尿素)をエナメル質の内側に浸透させ、色素の分子を分解することで、歯そのものの色を白く変化させます。
歯を削ったり、傷つけたりすることはありません。歯科医師や歯科衛生士の正しい管理のもとで行うことで、安全に歯の明度を上げていくことが可能です。
当院で選択できるホワイトニングの種類
当院では、患者様のライフスタイルやご希望の白さ、かけられる期間などに応じて、二つのホワイトニング方法をご用意しています。
オフィスホワイトニング(歯科医院で行う方法)

歯科医院内ですべての処置を完了させるホワイトニングです。
比較的高濃度のホワイトニング剤を歯の表面に塗り、特殊な光を照射することで薬剤の効果を高め、歯を白くしていきます。
このような方に向いています
- 結婚式や就職活動など大切な予定に合わせて、短期間で白くしたい方
- ご自身で処置を行うのが面倒に感じる方
- 専門家の管理のもとで、確実な処置を受けたい方
オフィスホワイトニングの特徴
- 1回の処置でも変化を実感しやすい即時性が高い方法です。
- 歯科医師・歯科衛生士が処置を行うため、安全性と安心感があります。
- 効果の現れ方には個人差があり、ご希望の白さになるまで数回の通院が必要な場合があります。
- ホームホワイトニングに比べ、時間の経過による色戻りがやや早い傾向にあります。
ホームホワイトニング(ご自宅で行う方法)

患者様ご自身が、ご自宅などのお好きな場所、お好きな時間に行っていただくホワイトニングです。
まず歯科医院で歯の型を採り、患者様専用のマウスピース(カスタムトレー)を作製します。その後、ご自宅でそのトレーに低濃度のホワイトニング剤を注入し、毎日一定時間歯に装着していただきます。
このような方に向いています
- ご自身のペースで、ゆっくりと自然な白さを目指したい方
- 通院する時間をなかなか確保できない方
- 白さをできるだけ長持ちさせたい方
ホームホワイトニングの特徴
- 低濃度の薬剤でじっくりと白くしていくため、色の後戻りが少なく白さが長持ちします。
- オフィスホワイトニングに比べ、透明感のある自然な仕上がりになりやすいです。
- ご自身で毎日継続して行っていただく必要があります。
- 効果を実感できるまでには、通常2週間程度の期間が必要です。
デュアルホワイトニング
オフィスホワイトニングとホームホワイトニングを併用する方法です。
オフィスホワイトニングの即効性と、ホームホワイトニングの持続性両方の長所を組み合わせることで、短期間で理想の白さに到達し、その効果を長く維持することが期待できる効果の高い方法です。
ホワイトニングを始める前に
ホワイトニングは、すべての方がすぐに始められるわけではありません。安全で効果的な処置を行うために、いくつかの重要なステップがあります。
事前の診察とカウンセリング

まず、お口の中にむし歯や重度の歯周病、ひび割れなどがないかを診察します。これらの症状がある場合、薬剤がしみたり痛みを引き起こしたりする原因となるため、ホワイトニングに先立って治療が必要です。
また、詰め物や被せ物などの人工の歯は、ホワイトニングで白くすることはできません。
カウンセリングを通じて、どこまで白くなる可能性があるか、どの方法が適しているかを丁寧にご説明します。
クリーニングの実施

歯の表面に歯石や着色が多量に付着していると、ホワイトニング剤が十分に浸透せず効果が半減してしまいます。
ホワイトニングを始める前には、お口全体のクリーニング(PMTC)を行い、薬剤が効果的に作用するきれいな状態に整えることをお勧めします。
ホワイトニングに関するご注意
知覚過敏について

ホワイトニングの処置中や処置後に、歯が一時的にしみることがあります。これは「知覚過敏」の症状で、多くの場合一過性のものであり、時間とともに治まります。
症状が強く出る場合は、薬剤の濃度を調整したり知覚過敏抑制剤を使用したりすることで対応します。
効果の持続性と後戻り

ホワイトニングの効果は永久ではありません。食生活や喫煙などの習慣によって、歯は少しずつ元の色に戻ろうとします(色戻り)。
美しい白さを長く保つためには、定期的な歯科医院でのクリーニングや数ヶ月から1年に一度のタッチアップ(追加のホワイトニング)が効果的です。
白く輝く歯で、もっと素敵な毎日を

口元が明るくなると、自然と笑顔に自信が生まれ表情も豊かになります。ホワイトニングは、そのような前向きな変化をもたらす素晴らしいきっかけの一つです。
歯の色に関するお悩みは、一人で抱え込まずぜひ私たち専門家にご相談ください。患者様一人ひとりのご希望を丁寧にお伺いし、適した方法を一緒に考えてまいります。

077-572-5255